利用γ射線的黑色真菌

Ionizing Radiation Changes the Electronic Properties of

Melanin and Enhances the Growth of Melanized Fungi

植物、藻類和一些細菌能夠通過光合作用把太陽輻射的光能轉化成化學能,光合作用給地球上形形色色的生物提供了賴以生存的能源。光合作用主要利用可見光,比如綠色植物主要吸收紅光和藍紫光;而有些光合細菌能從紅外線中獲取能量用於化學合成;還有利用紫外線進行光合作用的生物,如一些生活在深海的紅藻。

我們知道紫外線對人體是有害的,而波長更短的X射線和γ射線的危害就更大。你可能想不到,居然還有一些真菌類生物能利用γ射線。真是大千世界,無奇不有。

核反應器的冷卻水常常會變黑,是因為某些真菌在其中繁殖造成的,而黑色來源於真菌細胞內的黑色素。黑色素是一種分佈很廣的色素,在很多不同的生物體內都扮演著重要的角色。人體皮膚中的黑色素能夠擋住陽光中的紫外線,使我們免於傷害;黑色素也能幫助一些真菌在高輻射環境中生存,比如在切爾諾貝利核電站的廢墟中就有長得很旺盛的黑黴。

描述: chernobyl_52

切爾諾貝利核電站廢墟 by David Schindler

黑黴生長旺盛似乎也不算稀奇,因為微生物通常比多細胞的複雜生物更能耐受諸如高溫、高壓、高鹽、高輻射等極端的環境。然而,美國紐約阿爾伯特-愛因斯坦醫學院的微生物學家Arturo Casadevall 卻覺得事情可能不那麼簡單,因為黑色的真菌在極端環境中特別常見。他設想,或許黑色素的主要作用不是保護這些真菌免受輻射的傷害,而是説明它們從γ射線中獲得能量,因為生物在利用能源方面向來是很經濟高效的。

描述: chernobyl33

切爾諾貝利核電站廢墟中的黑黴[1] by David Schindler

描述: fungus

切爾諾貝利廢墟中的黑黴

Casadevall和他的團隊選擇了Wangiella dermatitidis(皮炎外瓶黴)和Cryptococcus neoformans(新型球菌)兩種含黑色素的真菌,把它們培養在γ射線強度是背景輻射[3]500倍的環境中,發現其同化作用和生長速度都明顯高於對照組。他們同時還試驗了這些真菌的白化突變株,這些白化株在高輻射的環境中也長得更好些,但不如有黑色素的菌株顯著。這說明黑色素對高輻射中的真菌生長有很重要的作用。另外,他們還發現γ射線啟動的黑色素對NAD[4]的還原能力大大增強,這與光合作用中的某些步驟很相似。

描述: Cryptococcus neoformans

新型球菌

這一系列實驗提示,黑色素可能像葉綠素捕獲可見光光子那樣捕獲γ射線的光子,並用於細胞的合成代謝。當然,人們對這一機制的瞭解遠遠不如對經典光合作用那麼透徹,說某些黑黴利用電離輻射進行光合作用還為時過早;但我們有理由相信,這方面的研究將帶給我們更多有趣的發現。 

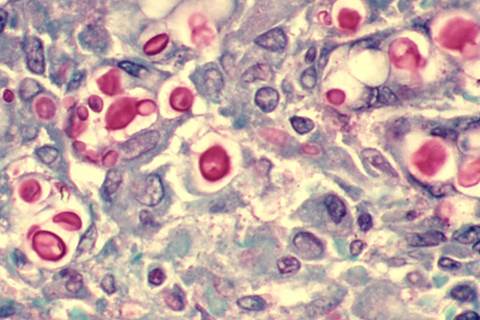
描述: Cryptococcosis

愛滋病患者肺中的新型球菌,其莢膜內層被染成了紅色。

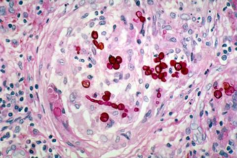
描述: Wangiella_dermatitidis

顯微鏡下深紅色的就是黑色真菌“皮炎外瓶黴”

 

[1]黑黴:有些黑黴會感染人類並引起諸如呼吸系統損失和頭疼等疾病。

文中提到的兩種黑黴都能感染人類,對愛滋病患者等免疫系統缺陷的人能造成嚴重感染。

[2]同化作用(又叫做合成代謝)是指生物體把從外界環境中獲取的營養物質轉變成自身的組成物質,

並且儲存能量的變化過程。即生物體利用能量將小分子合成為大分子的一系列代謝途徑。

[3]背景輻射:我們生活的環境中都有一定量的輻射,稱為背景輻射,也叫本底輻射

[4]NAD:煙醯胺腺嘌呤二核苷酸,也叫輔酶I,是生物氧化還原反應中最重要的輔酶。

 

http://www.plosone.org/article/fetchObject.action?uri=info%3Adoi%2F10.1371%2Fjournal.pone.0000457&representation=PDF

http://sciencewriter.org/dark-power/

http://en.wikipedia.org/wiki/Radiotrophic_fungus